您的位置: 医院新闻

6小时微米级手术!47岁壮年断指重生,看赵学辉骨科团队如何创造保指奇迹

“医生,求求你,一定要保住我的手指……”

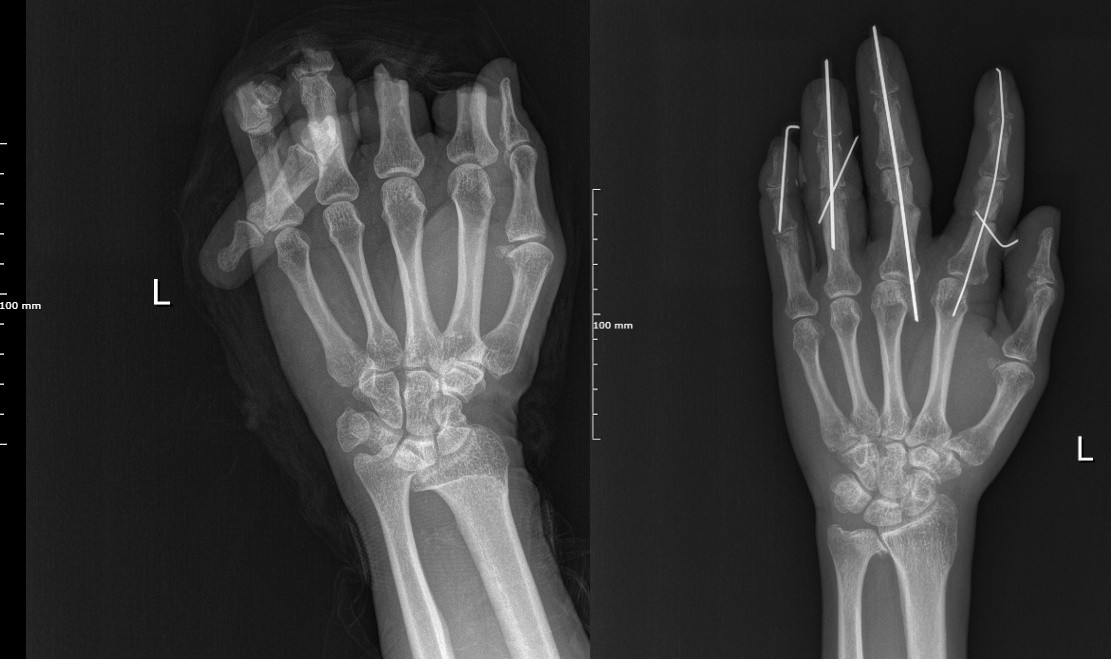
新钢中心医院的急诊室里,47岁的刘先生脸色惨白,声音因恐惧和疼痛而颤抖。他的左手除大拇指外的其他4根手指因机器意外伤害全部离断,瞬间的剧痛过后,是触目惊心的画面:伤口血流如注,组织参差不齐,污染严重,甚至能看见森白的指骨裸露在外。

对于正值壮年、身为家庭顶梁柱的刘先生而言,这4根手指不仅关乎功能,更关乎尊严与未来。

与时间抢手指,一场不能输的生命加时赛
断离的组织通常在4-6小时后开始出现不可逆的坏死。时间分秒流逝中,面对如此复杂严重的断指伤情,一场高难度的“生命接力赛”迅速在新钢中心医院展开。接棒这场赛跑最关键一棒的,是医院副院长、骨科主任医师——赵学辉骨科团队。

断指再植,是外科领域里公认的精细技术巅峰。它要求医生在显微镜下,将比头发丝还细的血管(直径仅0.3-0.5毫米)和神经重新吻合对接。这不仅是技术的较量,更是毅力、耐心和体力的终极考验。

赵学辉在详细了解病情后,没有丝毫犹豫。“患者还这么年轻,我们必须竭尽全力,为他保住手指,保住希望!”他沉稳而坚定的话语,给患者家属,也给整个医疗团队注入了强大的信心。

显微镜下的6小时“生命刺绣”,接通比发丝细的血管
无影灯下,赵学辉团队化身为沉稳的微观世界雕塑家。他们俯身于高倍显微镜前,进入了一个以微米为尺度的世界。

第一步:彻底清创。面对污染严重的创面,他像一位精准的园丁,小心翼翼地清除污染物和失活组织,为再植打下清洁的基础。

第二步:骨骼固定。他将裸露的指骨精确对位,用比牙签还细的微型钢针进行内固定,为断指重建坚实的骨架。

第三步:缝合肌腱。精细缝合断裂的肌腱,这是未来手指能够屈伸活动的关键。

第四步:决战时刻——血管神经吻合。这是手术的灵魂,也是决定成败的关键!赵学辉团队凝神静气,手持如发丝般纤细的缝合针线,在显微镜下开始了一场极致的微雕。

医生的双手稳如泰山,眼神锐利如鹰。寻找、对接、缝合……每一个动作都精准到微米级。汗珠从额角渗出,长时间的固定姿势让他们的颈肩无比酸麻,但他们浑然不觉。他们的全部精神,都凝聚在那一方小小的视野里,在那根关乎手指生死的血管上。


“手指活了!”醒来那一刻,他哭了
当血管夹松开,血液重新流过那细如发丝的通道,苍白、冰凉的断指逐渐变得红润、温暖——这是生命回归的最美信号!整个手术室都为之振奋。紧接着,是更为精细的神经吻合,这关乎着手指未来的触觉……

整整6个小时,360分钟的极致专注,赵学辉和他的团队,用高超的技艺和非凡的毅力,终于打赢了这场“手指保卫战”,将断裂的血管、神经、骨骼和肌腱一一重新连接。

当刘先生从麻醉中苏醒,第一件事就是看向自己的左手。当看到那些失而复得、颜色红润的手指时,这个七尺男儿的眼眶湿润了。这些重新被赋予生命的手指,于他而言,是完整,是希望,是重新撑起一个家庭的勇气。

而创造这一奇迹的赵学辉团队,在完成手术后,只是平静地脱下手术衣,脸上带着疲惫却欣慰的笑容。对他们而言,这不过是无数个工作日中寻常的一天,是医生二字的职责所在。

医者,看的是病,救的是心,给的是希望。在赵学辉团队身上,我们看到了新时代医者最动人的模样——他们手握精湛技艺,心怀悲悯仁爱,在生死边缘力挽狂澜,于细微之处创造奇迹。

医院地址:江西省新余市团结西路 | 电话:0790-6291257,6294031 | 传真:86-790-6294031 | 邮箱:6292499@sohu.com | 纪委信访举报电话:0790-6294138 | 纪委举报邮箱:xgzxyy6294138@163.com

×
×